診所資訊
醫師團隊
案例分享
診療項目
最新消息
聯絡我們
首頁
/
案例分享
案例分享
CASES
全部案例
矯正專科案例
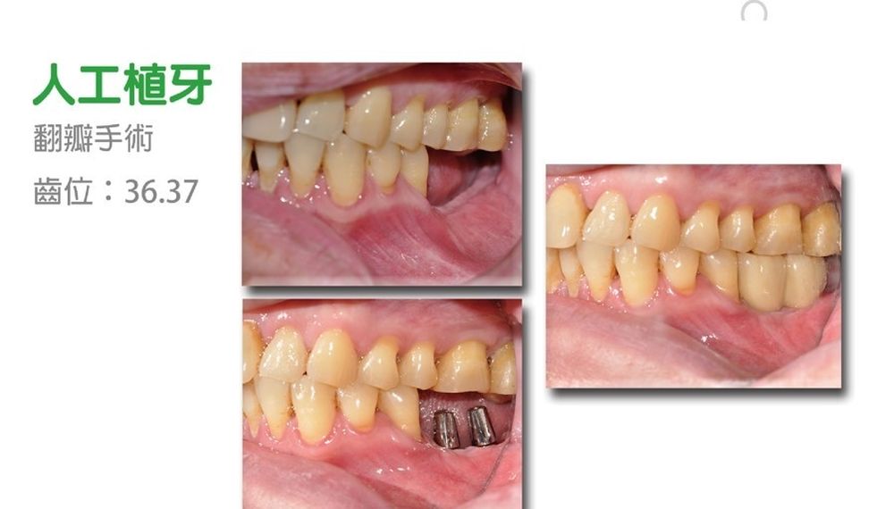
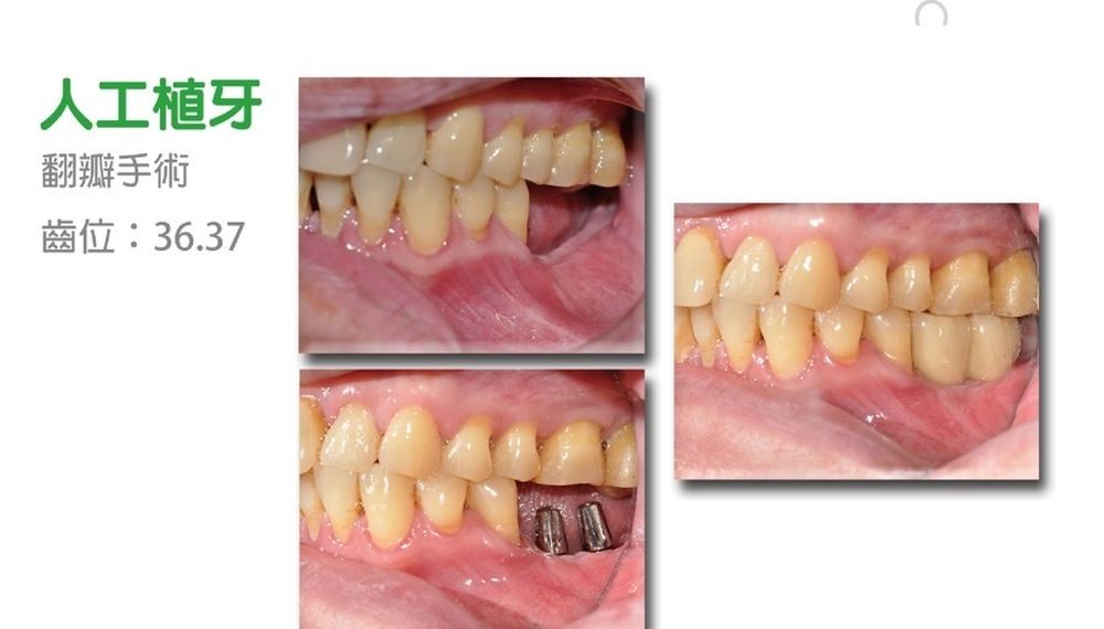
植牙專科案例
美容牙科案例
全瓷貼片案例
全口重建案例
植牙專科案例8
MORE
植牙專科案例7
MORE
植牙專科案例6
MORE
植牙專科案例5
MORE
植牙專科案例4
MORE
植牙專科案例3
MORE
植牙專科案例2
MORE
植牙專科案例1
MORE