診所資訊
醫師團隊
案例分享
診療項目
最新消息
聯絡我們
首頁
/
案例分享
/
植牙專科案例3
案例分享
CASES
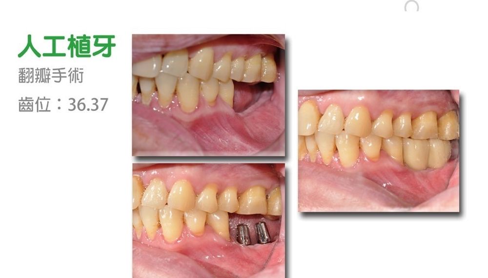
植牙專科案例3
回選單