診所資訊
醫師團隊
案例分享
診療項目
最新消息
聯絡我們
首頁
/
案例分享
/
全瓷貼片案例10
案例分享
CASES
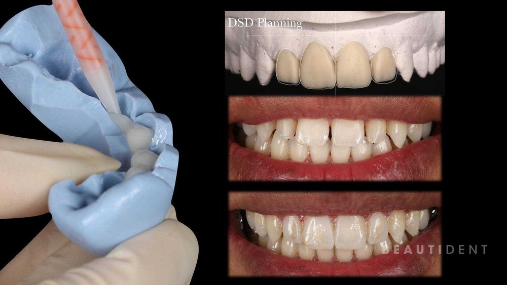
全瓷貼片案例10
回選單